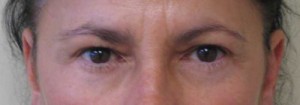
Lower blepharoplasty with canthopexy along with brow lift were performed. No upper eyelid surgery was performed. The upper eyelid crease was improved due to browlift alone.
Eyelid Surgery: Before & After Photos
Surgeries are performed by Dr. Mozaffari, Dr. Ceydeli, and Dr. Duong at their office in Lynn Haven, FL just outside of Panama City.
Patient Case #6414
Before
After